口腔外科領域の疾患(※現在診療内容が一部に限られています)
親知らず

手前の歯の虫歯、歯周病を引き起こすデメリットがあります。
そのリスクを解消するためには抜歯が必要です。
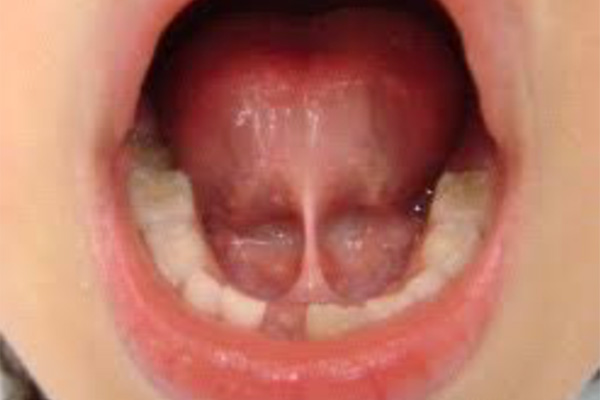
舌小帯/上唇小帯/頬小帯異常

哺乳障害、摂食障害、発音障害、歯列不正、顎の劣成長の原因となる事があります。
年齢、その時の症状の程度によって切除を検討します。
口腔粘膜疾患
口内炎
稀に悪性腫瘍が紛れている可能性がありますので、なかなか治らない時は一度ご相談下さい。(通常、口内炎であれば、1週間程度で治癒します)
粘液嚢胞

唾液の流出障害によって起こる嚢胞です。自然消退することもありますが、何度も繰り返す際は切除を検討します。主に下唇や舌下部に発症します。
良性腫瘍

主に、線維腫、脂肪腫、乳頭腫があります。一般的に切除療法を行います。
顎関節症
顎の関節に対する過度の負荷により顎関節部及び周囲筋への障害を引き起こします。
咀嚼時痛、開口時痛、開口障害等の症状を引き起こします。
咬み合わせの調整やマウスピースの装着により経過を見る事があります。
外骨症(下顎隆起、口蓋隆起)

骨の隆起であり、悪いものではありません。食物の接触による口内炎の頻発、義歯の装着困難な際には、切除を検討する場合もあります。
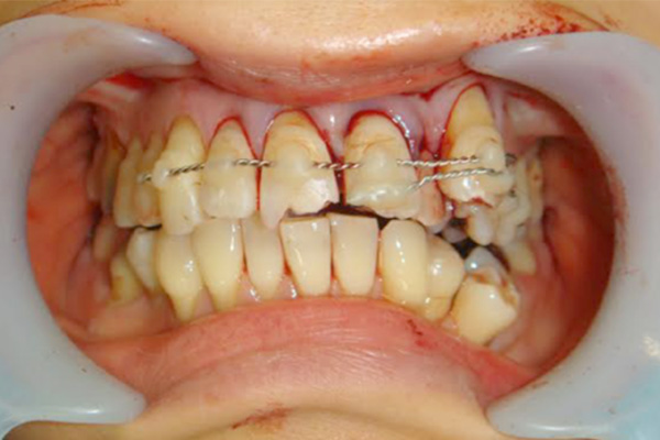
外傷
歯牙脱臼等

外傷により歯が抜けた場合は、牛乳か生理食塩水につけて保管し、速やかに戻す必要があります。
その際に周りの歯と固定を行うことがあります。
粘膜の裂創

傷の深さ、幅、出血の程度によって縫合が必要となることがあります。
※上記の診察も行っておりますが、場合によっては近隣の中核病院への紹介も行っております。予めご了承くださいませ。










